Консультации трёх врачей по цене одной!

+7 (812) 250-97-19

ст. м. Московская

Без выходных с 09:00 до 21:00

+7 (812) 250-97-19

ст. м. Московская

Настройки версии для слабовидящих

Лупушару
Антон
Владимирович

Врач-стоматолог

  • Стаж работы 1 год
  • С даты открытия клиники, Антон Владимирович совмещал обучение в ВУЗе с работой ассистента врача-стоматолога в нашей клинике. Помимо обучения в рамках обязательной программы прошел несколько серьезных курсов повышения квалификации и уже успел зарекомендовать себя, как врач специализирующийся на лечении кариеса и его осложнений (пульпит, периодонтит). Также проводит профессиональную гигиеническую чистку и обучение мануальным навыкам техники проведения домашней гигиены и профессиональное отбеливание зубов.
Записаться на консультацию
Лупушару Антон Владимирович, Врач-стоматолог

Образование

  • 2025г. Диплом о высшем образовании с присвоением квалификации «Врач-стоматолог» по специальности «Стоматология». Федеральное государственное бюджетное образовательное учреждение высшего образования "Санкт-Петербургский государственный педиатрический медицинский университет" Министерства здравоохранения Российской Федерации.
  • 2025г. Первичная аккредитация по специальности "Стоматология общей практики". Федеральное государственное бюджетное учреждение высшего образования «Санкт-Петербургский государственный педиатрический медицинский университет Министерства здравоохранения РФ. Действует до 17.07.2030г.

Немного доводов в пользу выбора молодого врача!

    Свежие знания

    • Современное образование: только что окончившие вуз врачи владеют самыми актуальными методиками лечения
    • Новые технологии: наша клиника полностью оснащена современным цифровым оборудованием и молодые специалисты отлично разбираются в нём.

    Дополнительные преимущества

    • Внимательность к деталям: молодые врачи особенно тщательно подходят к каждому случаю
    • Активное обучение: постоянно повышают квалификацию, участвуют в семинарах
    • Гибкость мышления: легче адаптируются к нестандартным ситуациям

    Мотивация и подход

    • Ответственность: стремятся зарекомендовать себя с лучшей стороны
    • Детальное объяснение: подробно рассказывают о лечении и его этапах
    • Индивидуальный подход: учитывают пожелания пациента

    Современные взгляды

    • Профилактика: активно пропагандируют профилактические меры
    • Эстетика: следят за современными тенденциями в эстетической стоматологии
    • Комфорт пациента: молодое поколение особенно требовательно к сервису и врачи клиники учитывают это


Важно помнить!

При выборе врача стоит обращать внимание не только на его опыт, но и на образование, сертификаты и отзывы пациентов. Молодой специалист с хорошим образованием может стать отличным выбором для вашего лечения!

🎓 Совет: перед принятием решения запишитесь на консультацию, чтобы оценить профессионализм врача лично.

Сертификаты

Портфолио

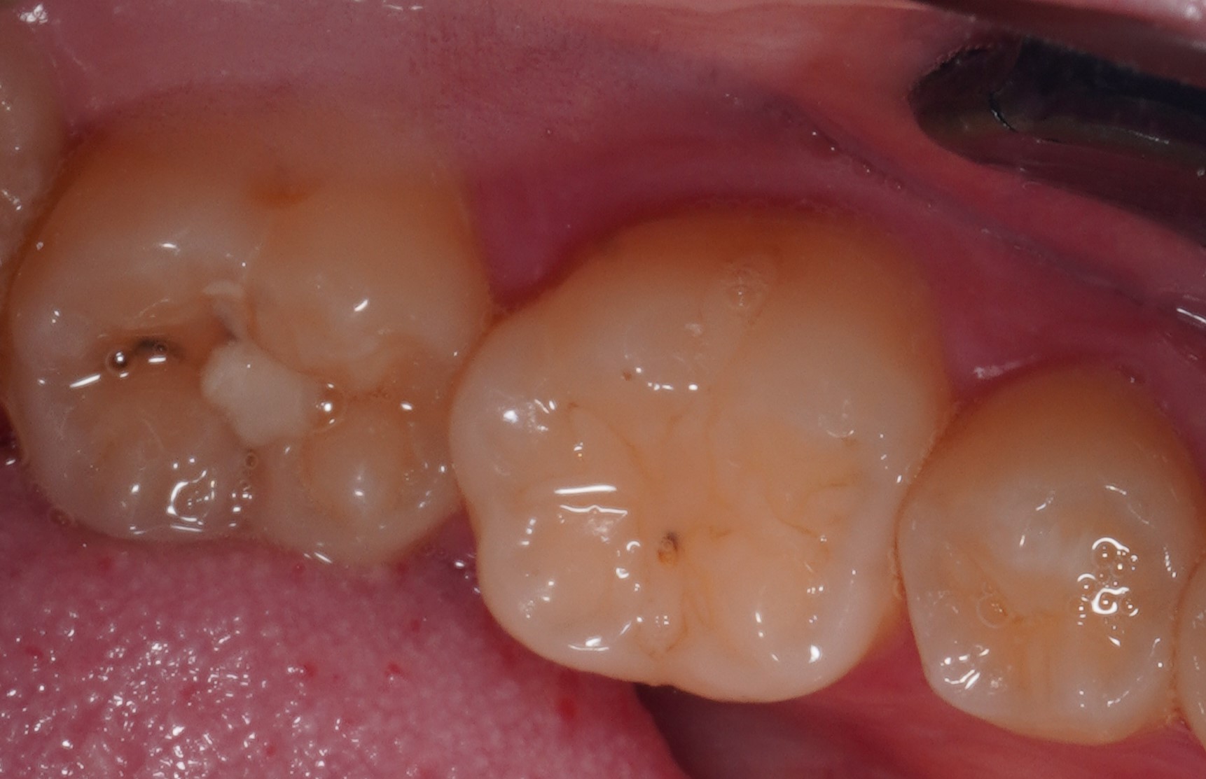
  • До

    Фото до процедуры Лупушару 1

    После

    Фото после процедуры Лупушару 1

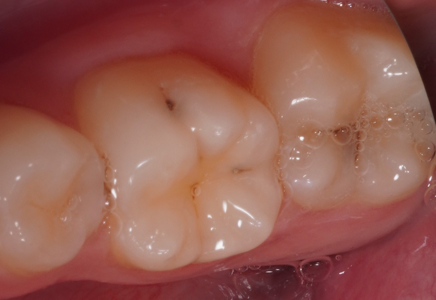
  • До

    Фото до процедуры Лупушару 2

    После

    Фото после процедуры Лупушару 2

  • До

    Фото до процедуры Лупушару 3

    После

    Фото после процедуры Лупушару 3

  • До

    Фото до процедуры Лупушару 4

    После

    Фото после процедуры Лупушару 4

записаться на приём

@@consultInfo

Оставьте свой отзыв на нашем сайте

Мы гарантируем, что указанная вами информация не будет использоваться для спама и не будет передана кому-то ещё.

Отзывы

  • П
    Пациент +7 931 25XXXXX
    С большой благодарностью выделяю отличный уровень сервиса в стоматологии​ «Симметрика». Всегда встречают вежливые и компетентные администраторы, а далее эстафету передают профессиональным врачам и ассистентам. Клиника идеально чистая, аккуратная, зона ожидания очень комфортная, оборудование последнего поколения, все под рукой, все необходимое рядом. Посетила клинику для проведения профессиональной гигиены в ноябре 2025 г. Была у врача-гигиениста Антона Владимировича. Я влюбилась в его профессионализм.
    Понравилось
    Результат великолепный, никаких камней и налетов. Врач был очень обходительным, предупреждал о каждом шаге, работал очень бережно, а в конце получила от него ценные рекомендации по уходу за полостью рта. Теперь он мой гигиенист number one!
    Подробнее
  • Ю
    Юрий Кондрашев
    Обратился в эту клинику с несколькими кариесами. Объяснили всё от того как правильно ухаживать за полостью рта, до того как пользоваться ирригатором. Для меня это было в новинку. Сейчас сделали клык, кариес был глубоким но врач Антон Лупушару очень хорошо справился, очень ему благодарен! В ближайшие пару месяцев буду лечить зубы здесь. Персонал вежливый и приветливый, очень приятный и довольно редкий случай)
    Подробнее
  • А
    ​Анита Попова
    Отличный врач Лупушару Антон Владимирович! Ходила на чистку , все очень аккуратно и внимательно! Обязательно приду ещё раз!
    Подробнее
  • А
    Анастасия Черникова
    Понравилась клиника, чисто , уютно. Врач Лупушару А. В. Провел обследование и назначил поэтапное лечение, удобно , что все можно сделать в одном месте, все расскажут , покажут, предложат пути лечения , была три раза и планирую довести начатое до конца. Рекомендую
    Подробнее
  • А
    Андрей Волков
    Очень доволен лечением у врача Лупушара Антона Владимировича. Взялся за сложный случай, аккуратно и качественно вылечил мне 7 зубов. Результатом доволен, всем рекомендую
    Подробнее
  • О
    Ольга Мантрова
    Я очень довольна посещением стоматологии Симметрика и работой врача Лупушару Антона Владимировича. Прием прошел комфортно, доктор подробно объяснил план лечения и ответил на все вопросы. Обязательно приду снова и буду рекомендовать знакомым.
    Подробнее

Мы на карте

Наш номер телефона +7 (812) 250-97-19

Мы работаем с 9:00 до 21:00 ежедневно